Chiropractic is a health care approach and profession that emphasizes diagnosis, treatment and prevention of mechanical disorders of the neuromusculoskeletal system.
Chiropractic focuses on the relationship between the structure of the body (primarily that of the spine) and function of the body, and how that relationship affects the preservation and restoration of health.
Misalignments of the vertebrae caused by poor posture or trauma results in pressure on the spinal cord, which may lead to diminished function and illness. A chiropractor seeks to analyze and correct these misalignments through a gentle adjustment or spinal manipulation.
Chiropractic is a drug-free, non-surgical science and, as such, does not include pharmaceuticals (medication) or invasive surgery.
A Subluxation [suhb-luhk-sey-shuhn], as defined by the Association of Chiropractic Colleges is: "a complex of functional and/or structural and/or pathological articular changes that compromise neural integrity and may influence organ system function and general health." When a subluxation occurs it causes nerve interference in some portion of the body affected by those nerves. The subluxation causes changes to the structure as well as the nerves. Over time these changes get progressively worse. These changes take the form of ongoing degeneration known as "subluxation degeneration". By understanding changes associated with subluxation degeneration, it is possible to reasonably estimate the time subluxations have been present in a spine and more importantly estimate the time and effort needed for correction.

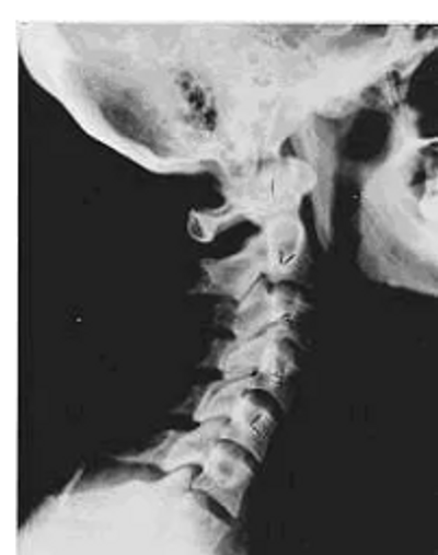
Near Normal
This is an x-ray view of the neck looking at the patient from the side. As with all the pictures on this page, the patient is looking to the right of the screen, so you are viewing the right side of their neck. This picture is a "near normal" spine. Compare this neck image closely with the ones you will see below. Notice the normal forward curve of the neck. This curve helps absorb shock similar to shock absorbers on your car. The white squares are called the vertebral bodies and should be clear and with well defined borders. The black spaces above and below the vertebral bodies are the discs. The discs should be thick and even. This type of arrangement is normal in the neck. Normal vertebrae in other parts of the spine also have similar characteristics to what is seen here.
When subluxations occur and are left uncorrected, from things like such as poor posture, obesity, birth trauma, slip and falls, motor vehicle accidents, and injuries, changes start to occur. When subluxations are not corrected, they result in damage to the structure and function of the spine and more importantly the nervous system.

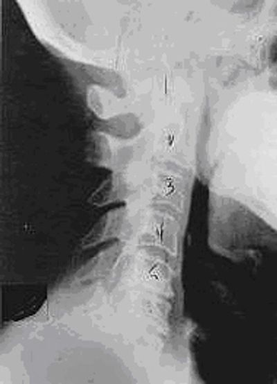
Phase One Subluxation Degeneration
Phase One Subluxation Degeneration is seen in subluxations that have been present for up to twenty years. This phase is characterized with a loss or change in the normal curve in the spine. In many instances a patient will have a straight neck. This is often called military neck posture. In some cases, the curve starts to reverse and go the wrong way as in this example. The disc spaces have also begun to exhibit a slight change in shape. They begin to shrink or get smaller. On a positive note, the bodies of each of the vertebrae (the white square part) still exhibits clean clear borders. Segmental motion, meaning movement between two adjacent vertebrae may be abnormal. However overall motion is usually not affected in this phase of subluxation degeneration. Chiropractic reconstructive care for phase one subluxation degeneration can take from 6 to 18 months. More than 80% of people with Phase One Subluxation Degeneration have no pain. Therefore, if left uncorrected, phase one continues to progress with time until it eventually reaches the next phase.

Phase Two Subluxation Degeneration
Phase two subluxation degeneration is normally seen in subluxations that have been present between 20 and 40 years. Subluxation Degeneration is a progressive process. Therefore, some of the same characteristics of the previous phase including a loss of normal curvature and position as well as an alteration in segmental motion continue into the second subluxation degeneration phase and continue to get worse. In addition, spines with Phase Two Subluxation Degeneration many times show a reduction in the patient's range of motion in that area. Patients begin having difficulty fully turning their heads to one side or the other or they are unable to turn their head without pain. Phase two subluxation degeneration x-rays begin to show changes to the bones. These changes include calcium deposits or buildup at certain levels of the spine. There are many common terms to describe these physiological changes including calcium spurs, “lipping”, osteophyte formation, osteoarthritis, OA and arthritis. Disc spaces between the affected vertebrae are noticeably narrower and may appear to be flattening out. Although most people with Phase Two Subluxation Degeneration may not exhibit any symptoms, some people may start to feel stiff or achy especially in the morning or after sitting for long periods of time. Chiropractic reconstructive care for patients in phase two ranges from 1.5 years to 2.5 years. Remember it took 20-40 years for your body to get to where it is currently, it will take time to heal properly. Again, if Phase Two Subluxation Degeneration is left uncorrected it will progress to the next phase.

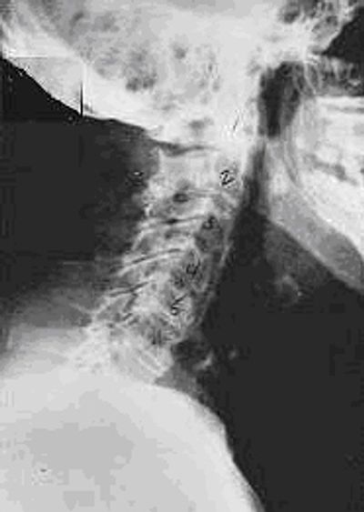
Phase Three Subluxation Degeneration
Phase Three Subluxation Degeneration is caused by subluxations that have been continuing on for between 40 and 65 years. This phase has all of the physiological changes seen in the earlier phases of degeneration, only worse. The curvatures are abnormal, the disc spaces are vastly decreased and changed. Have you ever wondered why become shorter as they get older? The reason is because the height of each of the disc in the spine decreases slightly.
Calcium deposits on the spine are abundant in this phase. Normally, people in phase three have a restricted range of motion and probably exhibit symptoms of some kind. One of, if not the most common symptom is pain. In phase three the vertebrae show obvious changes in shape. Calcium spurs (also known as “lipping”, osteophyte formation, osteoarthritis, OA and arthritis) can be readily seen on x-ray. Chiropractic reconstructive care for patients in phase three ranges from 2.5 years to 3.5 years and targets functional progress. Once you reach this stage, structural changes have become permanent and returning your spine to “near normal” is an unrealistic goal. However, this does not necessarily mean chiropractic care will not help. In fact, many patients return to symptom free status when they following their chiropractic reconstructive care plan. In many instances the body adapts to the presence of the calcium spurs and positive functional changes can occur. As before, if Phase Three Subluxation Degeneration is left unchecked it will eventually advance into the fourth and final phase.

Phase Four Subluxation Degeneration
Phase four subluxation degeneration is seen with subluxations that have been ongoing, unchecked and uncorrected for over sixty five years. Phase four is a serious and grave condition that will negatively affect the patient’s longevity and quality of life. The massive amount of neurological damage caused by years of neglect that have lead to phase four degeneration are probably taking a serious toll on this person's health status. X-rays in phase four show serious severe structural changes. Vertebrae exhibit massive calcium changes, disc spaces appear blurred, and the bones themselves appear fused. It becomes extremely difficult to separate anatomical structures on x-ray. In this scenario the patient will have a severe restriction of range of motion in addition to probably a number of other health issues related to nervous system impingement. While reconstruction may not be possible in phase four degeneration, relief care can reduce symptoms which will improve the quality of life remaining. Patients in Phase Four Subluxation Degeneration have a serious situation structurally, functionally and neurologically, but they are certainly not beyond hope. Many patients in phase four report significant improvements in symptoms, conditions, mobility and quality of life with chiropractic care.
Note every person is unique and different. People degenerate at different rates and heal at different rates. The further along your spine may be with subluxation degeneration the more strenuous and time consuming your road to improvement will be. For this reason we always stress early care to stop and prevent the advancement of subluxation degeneration. Of course, if you're not under chiropractic care, the best time to start is NOW!

Call 810-632-5252 to make an appointment to have your spine checked today!
Wellness 4 Life Chiropractic, PLLC
11202 Highland Rd., Hartland MI 48353
P: 810-632-5252 F: 810-632-7575
Copyright © 2025 Wellness 4 Life Chiropractic, PLLC - All Rights Reserved.